
Oral health is important to everyone’s overall health and well-being. When it comes to wisdom teeth and their extraction, a dentist or oral and maxillofacial surgeon can remove wisdom teeth. In many cases, the procedure can be performed in the dentist’s office if only one wisdom tooth is being removed and no complications are anticipated. However, if someone is having all four of their wisdom teeth pulled at the same time or they are at high risk for complications, hospitalization might be required. This is especially true if the wisdom teeth are impacted or if the patient has cavities and/or gum disease. To better understand this common procedure, here is an overview of wisdom teeth extractions.
If the teeth are impacted, the procedure becomes more complicated. Specifically, the dentist or oral surgeon must dig deeper into the gums, remove the extra bone impacting the teeth, and work harder to free the teeth from the gums. In some cases, the surgeon may even have to cut the teeth into sections in order to extract them. This procedure increases the risk of infection and other potential complications (e.g. nerve damage, debris, cutting into the gums, etc.).
Prior to any tooth extraction, blood testing and metabolic panels will be ordered to ensure the patient is in good health and infection-free. If any infections are found, the extraction(s) must be delayed until the infection has been resolved. In most cases, the dentist or surgeon could prescribe antibiotics to help clear up the infection. It is important that the patient finishes all of the antibiotics prescribed, even if they begin to feel better or notice signs of improvement. The full course of antibiotics helps ensure that the infection has been resolved and the patient is ready for surgery.

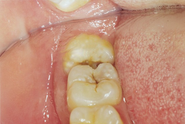
The wisdom teeth, which are also referred to as the third molars, are the final set of molars to develop. Not everyone will necessarily get these teeth and they are not necessary for a healthy smile or good oral hygiene. In many cases, those individuals who develop wisdom teeth may encounter issues that require their removal, especially if they do not come in properly. Wisdom teeth typically erupt between the mid-to-late teens and early 20s (ages 16 to 25). However, they can emerge later in life in some cases. Due to their late development, there may not be enough room left for these third molars to erupt. As a result, they often emerge at an angle, crowd the mouth, and/or sometimes cannot fully emerge. This can lead to a myriad of future oral health issues, such as infections, pain, nerve damage, etc.
The recovery time for wisdom tooth extractions is relatively short. In most cases, the recovery period should only last a few days. However, it depends on the individual involved, how many wisdom teeth were extracted, how badly impacted each tooth was, and how difficult the teeth were to extract. Moreover, the recovery period also could be affected by a patient’s stitches. Some stitches are designed to dissolve over time while others have to be removed by the dentist or oral surgeon via a follow-up visit a few days after the procedure. The doctor will inform the patient about their stitches and any necessary follow-up care following the procedure. Furthermore, the dentist or oral surgeon will place cotton gauze pads over the wounds to help stop the bleeding and provide the patient with a sheet of post-surgical instructions to aid their recovery.
When it comes to wisdom teeth and their extraction, the procedure is quite common and routine in many cases. It can be performed on an outpatient basis in a dentist’s or oral surgeon’s office if only one wisdom tooth is being extracted and no complications are expected. However, if someone is having multiple or all four of their wisdom teeth removed at the same time, or they are at high risk for complications, hospitalization might be required. This is especially true if the wisdom teeth are impacted. Since oral health is important to everyone’s overall health and well-being, it is important to have an overview of wisdom teeth extractions, due to the fact that most people and/or their family members will have some experience with them at some point in their lives.
Written and Edited by Leigh Haugh
Sources:
Mayo Clinic–Wisdom Tooth Extraction
WebMD–Wisdom Tooth Extraction
Colgate–What Is the Recovery Time After Wisdom Teeth Removal?
All Article Images Courtesy of WikiMedia Commons – Creative Commons License
Discover more from Guardian Liberty Voice
Subscribe to get the latest posts sent to your email.


2 Responses
This sounds rather insular…as far as I’m concerned…
Having an impacted wisdom tooth can be the worst feeling in the world! We all know that impacted teeth can cause several problems in the mouth, that’s why it’s better to get it removed by your dentist before it gets worse. Anyway, do you know how to care for your mouth after wisdom tooth extraction? According to a helpful site, after the doctor pulls out your wisdom tooth, it is not advisable to rinse your mouth for a full day. If you notice there’s no longer any bleeding, you can begin to rinse your mouth using warm water with dissolved salt in order for your mouth to become disinfected.